大阪 堺市の歯科医院「さねしげ歯科医院」は歯を白くしたいホワイトニング!ラミネートベニア、オールセラミックス、などの審美歯科治療も行っております

さねしげ歯科医院
レーザー治療



さねしげ歯科医院

大阪府堺市美原区
多治井232-246

初診予約受付

トップページ > 審美歯科治療 > ホワイトニング症例(3) 


ホワイトニング症例


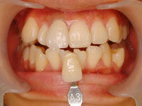
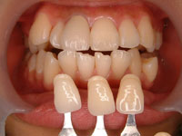
ホワイトニング治療前 30歳代 女性

ホワイトニング治療前



Copyrgiht(C)2018 SANESHIGE DENTAL CLINIC.All Rights Reserved.
Produce by 株式会社ピッコルーナ/東京