大阪府堺市美原区の歯科医院「さねしげ歯科医院」のインプラント治療はインプラントの成績・評価・安全性が高い、また経過の良いSPIインプラントシステムです。

さねしげ歯科医院
レーザー治療



さねしげ歯科医院

大阪府堺市美原区
多治井232-246

初診予約受付

トップページ > インプラントの基礎知識 > インプラント治療の症例(1) 


インプラント治療の症例(1)


インプラント症例

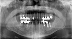
50歳代 男性 初診時のレントゲンです。
下の左側(画像では右下)にインプラントを埋入します。

施術前の診断です。
どのくらいの長さのインプラントを用いるかを測定を行います。

埋入直後のレントゲン写真です。
術前のシュミレーションの通りのインプラントが埋入できました。

術前の写真です。

埋入直後の写真です。

鏡面像。左右が逆になります。埋入から3ヶ月後、インプラント体に上部構造(歯の部分)を装着します。

鏡面像。左右が逆になります。上部構造(歯の部分)を装着しました。なんでも噛むことができるようになります。

続いて、さらに1本奥の歯も腐ってしまっているので抜歯し、
歯を抜いた部分が凹むのを防ぐために人口の骨を入れました。

3ヶ月後。人口の骨が自家骨と同化するのを待ち、2本目のインプラントを埋入しました。


Copyrgiht(C)2018 SANESHIGE DENTAL CLINIC.All Rights Reserved.
Produce By ㈱ピッコルーナ