大阪府堺市美原区の歯科医院「さねしげ歯科医院」のインプラント治療症例です。

さねしげ歯科医院
レーザー治療



さねしげ歯科医院

大阪府堺市美原区
多治井232-246

初診予約受付

トップページ > インプラントの基礎知識 > インプラント治療の症例(2) 


インプラント治療の症例(1)


自家歯牙移植とインプラント合わせ治療

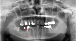
40歳代 女性 初診時のレントゲンです。
下の右側(画像では左下)の根だけ残っている歯を抜歯し、
インプラントを埋入する計画です。真横になっている親知らずはうまく抜歯して、
そのまま縦に再び埋入移植するようにします。

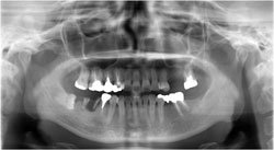
抜歯を行い、歯を抜いた部分が凹むのを防ぐために人口の骨をいれました。
インプラントの施術前の診断として、どのくらいの長さの
インプラントを用いるか測定を行います。

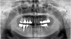
インプラントの埋入と親知らずの再植を行いました。

施術から3ヶ月後。インプラントには上部構造(歯の部分)を装着し、
縦に再植した親知らずには、被せ物を装着しました。これで何でも噛めるようになります。


Copyrgiht(C)2018 SANESHIGE DENTAL CLINIC.All Rights Reserved.
Produce by ㈱ピッコルーナ