
手術の前に
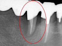
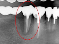
歯周組織の状態を調べるために、歯周ポケットの深さを計ったり、レントゲンを撮ったり、その他治療に必要な検査を行います。エムドゲインゲルを使った治療が行えるかどうがは、歯周病の程度や患者さんの健康状態によっても異なります。
歯周外科手術
手術は麻酔をかけますので、痛みはありません。まず最初に治療する部分の歯肉を切開し剥離します。歯根の表面の清掃を行いエムドゲインゲルを塗布します。最初に切開した歯肉部分を縫合し、終了です手術後はゆっくりご自宅で休んで頂き、後日感染を防ぐため消毒します。安定したら抜糸します。
手術後の注意点
手術創は速やかに治癒しますが、手術部分の歯みがきなどは医師の指示に従って下さい。また、指や舌で手術部分をさわらないで下さい。 手術後の感染を防ぐために術後3~6週間は、消毒薬で口の中をよく洗浄するようにしましょう。
定期的な検診について
健康な歯周組織を取り戻すまでには、数ヶ月から1年程度かかります。歯周組織が再生するまでの期間は個人差があり、歯周病の程度によっても異なります。術後のスケジュールの詳細も患者さんによって異なりますので、担当医の指示に指示に従い、必ず定期的な検査をp受けるようにして下さい。治療が終了した後も、口の中の衛生状態を定期的に検査することをおすすめします。
|