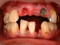
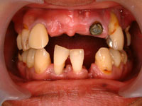
さねしげ歯科医院はジスロマックとハリゾンシロップで内科的な歯周病治療が可能です。歯周病治療なら堺市美浜区の「さねしげ歯科」
|
||||||
|
|
|||||||
|
|
|
|
||||||||||||||||||||||||||||||||||||||||||||||||||||
| Copyrgiht(C)2018 SANESHIGE DENTAL CLINIC.All Rights Reserved. Produce by WEB制作 ㈱ピッコルーナ |
|||||||||||||||||||||||||||||||||||||||||||||||||||||
|
||||||
|
|
|||||||
|
|
|
|
||||||||||||||||||||||||||||||||||||||||||||||||||||
| Copyrgiht(C)2018 SANESHIGE DENTAL CLINIC.All Rights Reserved. Produce by WEB制作 ㈱ピッコルーナ |
|||||||||||||||||||||||||||||||||||||||||||||||||||||