大阪 堺市の歯科医院「さねしげ歯科医院」はジスロマックやハリゾンシロップで内科的な歯周病治療が可能です。

さねしげ歯科医院
レーザー治療



さねしげ歯科医院

大阪府堺市美原区
多治井232-246

初診予約受付

トップページ > 歯周病治療 > 内科的な歯周病治療 


内科的な歯周病治療


あまり知られていませんが、歯周病は今も『不治の病』の一つです。あまり知られていない理由は、「死」に直面する病気ではないこと、日本人の意識としてお口の中の病気は比較的軽く考えられていること、歯周病に関わって来た歯科医師からのアピールが足りなかったこと……。きっとそんなことが理由ではないかと思います。

一度歯周病になってしまったら、死ぬまで一生この病気とお付き合いしていくことになります。糖尿病や胃潰瘍と同じ、上手く自分自身でコントロールしていく病気なのです。

歯周病の治療方法は、多くの先生の間で模索を繰り返してきました。そしてここ数年のうちに画期的な治療方法として注目を浴びているのが『内科的歯周病治療』です。

ジスロマックとハリゾンシロップ

内科的歯周病治療とはつまり、飲み薬歯周病を治そう!と言う全く新しい考え方です。その方法として「ジスロマック」という薬と「ハリゾンシロップ」と言う薬を使用したハミガキうがいなのです。

おもしろいことに、どちらのお薬も歯周用専用に開発されたわけではありません。実は他の病気の治療のために使用するお薬なのですが「歯周病は歯周病菌による感染症である」という考え方で編み出された変則の組み合わせなのです。

ジスロマックとハリゾンシロップ

使用方法

あらかじめ、前述した「歯周病の基本治療」をひととおり当歯科医院で行なったのちに、
これらのお薬を使用することになります。治療期間は約7日です(個人差があります)。

1. 飲み薬:「ジスロマック」抗生剤
用法:1日1回 1回につき2錠を24時間毎に3日間服用
副作用:よくある副作用:下痢 (ひどくなければ心配いりません)
まれな副作用:悪心、歐吐、発疹

2. うがい薬:「ハリゾンシロップ」抗真菌抗生剤
@今まで使用していた歯ブラシはすべて廃棄してください。
Aハリゾンシロップ1mlを小皿 (自分専用の物を用意してください) に取り、
  新しい歯ブラシに充分につけて、上の歯/下の歯をそれぞれ5分ずつ磨く。
  (特に歯と歯茎の境目を丁寧に磨いてください)
Bシロップ (砂糖入り) ですので、もういちど今まで通りに歯を磨いてください。
C毎食後、1日3回必ず行ってください。1瓶で約1週間分です。

※お薬を使った治療ですので、詳しく使用方法などは当院へお尋ね下さい

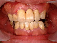
当院でおこなった内科的歯周病治療の症例

服用前の写真です。上の前歯からウミが出ています。歯茎は赤く腫れ上がり、歯周病が進んでいます。

服用から1週間後。腫れた歯茎はピンク色に変化し、急性症状は治まっています。

>>>当院でおこなった歯周病治療症例が他にもあります詳しくはこちらをクリック


Copyrgiht(C)2007 MATSUDA DENTAL CLINIC.All Rights Reserved.